Planmeca stellt neue KI-basierte Werkzeuge für Planmeca Romexis® vor

Planmeca Romexis® ist die leistungsstärkste Softwareplattform für die Zahnmedizin und bietet ein umfangreiches Angebot an Werkzeugen für die zahnmedizinische Bildgebung, Diagnose und Behandlungsplanung für alle Indikationen und zahnmedizinischen Fachgebiete. Planmeca ist stolz darauf, auf der Internationalen Dental-Schau 2023 eine Reihe von Verbesserungen und neue KI-basierte Tools für Romexis vorzustellen, die dazu beitragen, die täglichen Aufgaben in einer Zahnarztpraxis zu optimieren und die Arbeit mit Patientenbildern und die Behandlungsplanung noch einfacher und schneller zu gestalten.

Planmeca stellt neue KI-basierte Werkzeuge für Planmeca Romexis® vor

Pressemitteilung 16.03.2023

Planmeca Romexis® ist eine flexible und leistungsstarke Softwareplattform, die das vielseitigste Spektrum an 2D- und 3D-Bildgebung sowie CAD/CAM-Arbeiten unterstützt und eine All-in-One-Lösung für alle Fachrichtungen und Kliniken jeder Größe darstellt. Planmeca hat eine starke und nachgewiesene Erfolgsbilanz in der ständigen Erweiterung von Romexis um neue Funktionen und Verbesserungen. Dadurch können die Benutzer immer mit den neuesten Innovationen der digitalen Zahnmedizin arbeiten. Auf der IDS 2023 stellt Planmeca mehrere Verbesserungen und neue Funktionen der Software vor.

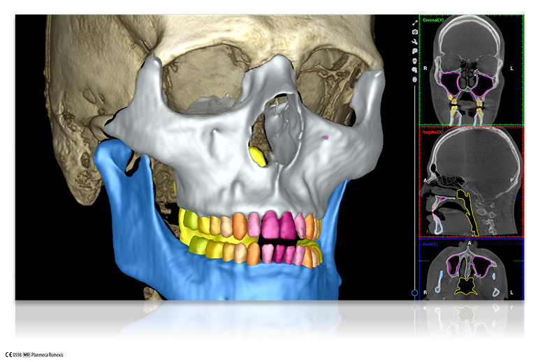
Für das 3D-Bildgebungsmodul führt Planmeca eine neue KI-basierte Funktion ein, Romexis Smart. Sie ermöglicht die automatische Segmentierung und Erkennung von Anatomien wie Zähnen, Nerven, Kiefern, Atemwegen und Nebenhöhlen, was eine einfachere und schnellere Bedienung der Software und eine hervorragende Visualisierung des Falls für die Patientenaufklärung ermöglicht. Mit Hilfe von künstlicher Intelligenz werden auch DVT-Bilder und intraorale Scans automatisch zugewiesen. Dank der automatischen Zahnnummernerkennung können die Anwender einfach durch Anklicken der Zahnnummer in der Zahnkarte durch ein DVT-Volumen navigieren, und die Software zentriert alle Ansichten auf den gewünschten Zahn.

Darüber hinaus wird das kürzlich eingeführte Modul Planmeca Romexis® CAD/CAM um die Funktion Planmeca Romexis® Ortho Simulator erweitert. Mit dem Romexis Ortho Simulator können intraorale Scans verwendet werden, um das wahre Potenzial eines Patientenlächelns in wenigen Minuten zu simulieren. Der KI-basierte Algorithmus des Moduls erstellt Simulationsvorschläge für kieferorthopädische Fälle und macht es einfach, Behandlungsmöglichkeiten zu erörtern und Patienten das Potenzial von Behandlungen mit transparenten Aligner-Schienen zu präsentieren. Die Vorschläge können auch manuell mit schnellen und intuitiven Simulationswerkzeugen angepasst werden.

Das Modul Planmeca Romexis® CMF Surgery für die Planung kraniomaxillofazialer Chirurgie wurde mit neuen Funktionen und Verbesserungen bestehender Funktionalitäten aufgepeppt. Die Segmentierungsverfahren wurden verbessert und können mit den neuen Werkzeugen von Romexis Smart sogar vollständig automatisiert werden. Außerdem können Referenzpunkte jetzt automatisch erkannt werden, was dem Arzt hilft, wertvolle Zeit zu sparen. Auch die Visualisierung eines Falles wurde auf ein völlig neues Niveau gehoben, da sie nun die Möglichkeit bietet, Veränderungen der Weichteile zu simulieren, die bei dem Patienten nach der Operation zu erwarten sind.

Darüber hinaus bietet Romexis einen neuen Service für an Zeitersparnis interessierte Benutzer und einen KI-basierten Bildanalysedienst für intraorale Röntgenbilder an. Planmeca beginnt nämlich die Zusammenarbeit mit Pearl, um den Service „Second Opinion“ in Romexis zur Verfügung zu stellen. Mit einem Klick auf eine Schaltfläche in Romexis erhält der Benutzer eine KI-berechnete Analyse eines intraoralen Röntgenbildes direkt in Romexis zur weiteren Untersuchung und Planung. Neben der Zeitersparnis ist die Analysefunktion ein unglaublich leistungsfähiges Werkzeug für die Patientenaufklärung und -kommunikation, da sie den Zahnarzt dabei hilft, Karies, Zahnstein und andere Befunde in einem Röntgenbild zu visualisieren. Der Dienst nummeriert auch die Zähne und führt automatisch parodontologische Messungen durch. Der Service kann jetzt für Bissflügel- und periapikale Aufnahmen verwendet werden. Später wird der Service auch für Panoramaaufnahmen verfügbar sein.

„Unser oberstes Ziel bei Planmeca Romexis ist es, die Arbeit der Benutzer zu erleichtern und ihnen mit intuitiven und einfach zu bedienenden Software-Tools zu helfen, Mehrwert zu schaffen. Durch die Nutzung von künstlicher Intelligenz hilft Romexis den Zahnärztinnen und Zahnärzten dabei, Daten schneller und genauer zu analysieren und ihre Zeit effizienter zu nutzen. Gleichzeitig nehmen wir den Datenschutz und die Datensicherheit sehr ernst und haben von Anfang an Sicherheitsfunktionen in die Software integriert. Wir sind sehr stolz darauf, dass alle Romexis-Benutzer verantwortungsvolle Praktiken anwenden und die strengeren gesetzlichen Anforderungen an die Datensicherheit auf der ganzen Welt erfüllen können, während sie intelligente Software-Tools nutzen, die ihre Arbeit erleichtern“, erklärt Helianna Puhlin-Nurminen, Vice President für digitale Bildgebung und Anwendungen bei Planmeca.

Planmeca präsentiert Planmeca Romexis und dessen neue Funktionen und Module auf der IDS 2023.

Für weitere Informationen wenden Sie sich bitte an:
Helianna Puhlin-Nurminen
Vice President, Digital Imaging and Applications, Planmeca Oy
Tel. 358 20 7795 731
E-mail: helianna.puhlin@planmeca.com


Mehr zum Thema