Planmeca presenta nuevas herramientas basadas en IA para Planmeca Romexis®

Planmeca Romexis® es la plataforma de software más potente del sector odontológico, con su oferta de amplia gama de herramientas para la obtención de imágenes dentales, el diagnóstico y la planificación de tratamientos para todo tipo de indicaciones y especialidades odontológicas. En la feria International Dental Show 2023, Planmeca se enorgullece de presentar varias mejoras y nuevas herramientas basadas en IA para Romexis, las cuales ayudan a optimizar las tareas diarias de una consulta odontológica, al tiempo que facilitan y agilizan el trabajo con las imágenes de los pacientes y la planificación de los tratamientos.

Planmeca presenta nuevas herramientas basadas en IA para Planmeca Romexis®

Comunicado de prensa 16.03.2023

Planmeca Romexis® es una plataforma de software flexible y potente que admite la gama más versátil de imágenes 2D y 3D, así como el trabajo CAD/CAM, y proporciona una solución todo en uno para todo tipo de especialidades y clínicas de cualquier tamaño. Planmeca cuenta con un sólido y probado historial de incorporación constante de nuevas funciones y mejoras a Romexis, lo que permite a sus usuarios trabajar siempre con las últimas innovaciones en el campo de la odontología digital. En la IDS 2023, Planmeca se complace en presentar varias mejoras y nuevas funciones del software.

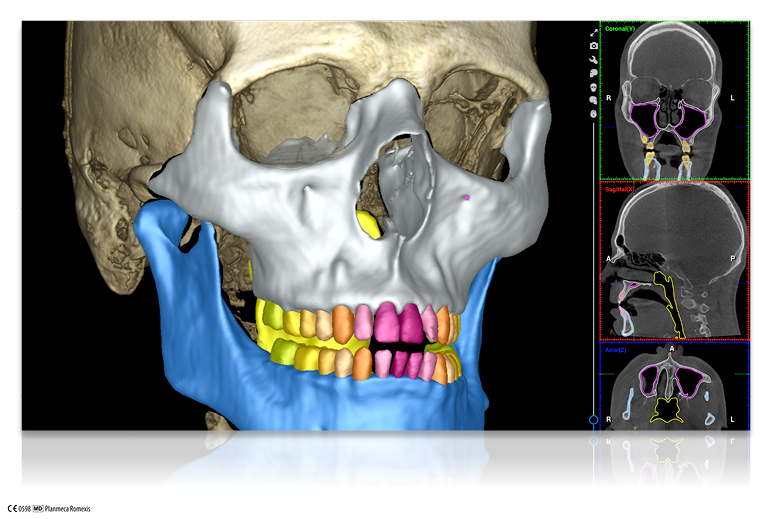
Para el módulo de imágenes 3D, Planmeca presenta una nueva función basada en IA, Romexis Smart. Esta herramienta permite la segmentación y el reconocimiento automáticos de anatomías, como dientes, nervios, maxilares, vías respiratorias y senos, gracias a lo cual se facilita y agiliza considerablemente el uso el software, logrando una excelente visualización del caso para la educación del paciente. Con la ayuda de la inteligencia artificial, las imágenes CBCT y los escaneos intraorales también se mapean automáticamente. Gracias al reconocimiento automático del número de diente, se puede navegar fácilmente por un volumen CBCT con solo hacer clic sobre el número de diente en el gráfico y el software centra todas las vistas en el diente de interés.

Asimismo, el recientemente estrenado módulo Planmeca Romexis® CAD/CAM se amplía con la función Planmeca Romexis® Ortho Simulator. Con Romexis Ortho Simulator, los escaneos intraorales pueden utilizarse para simular el verdadero potencial de la sonrisa de un paciente en cuestión de minutos. El algoritmo basado en IA del módulo crea propuestas de simulación para casos de ortodoncia y facilita el debate sobre las posibilidades de tratamiento al mostrar claramente el potencial de los tratamientos con alineadores transparentes a los pacientes. Las propuestas también pueden ajustarse manualmente con herramientas de simulación rápidas e intuitivas.

El módulo Planmeca Romexis® CMF Surgery para la planificación de la cirugía craneomaxilofacial se ha enriquecido con nuevas funciones y mejoras de las funcionalidades existentes. Los procedimientos de segmentación se han mejorado e incluso pueden automatizarse por completo con las nuevas herramientas Romexis Smart. Asimismo, ahora los puntos de referencia pueden detectarse automáticamente, lo que ayuda a los profesionales clínicos a ahorrar un tiempo valioso. La visualización de un caso también se ha llevado a un nivel totalmente nuevo, ya que ahora incluye la posibilidad de simular los cambios en los tejidos blandos que el paciente puede esperar tras la cirugía.

Por otra parte, Romexis ofrece un nuevo servicio para los usuarios interesados en ahorrar tiempo y un servicio de análisis de imágenes basado en IA para imágenes intraorales de rayos X. Planmeca estrena colaboración con el servicio Second Opinion ofrecido por Pearl, que otorga a los usuarios un flujo de trabajo eficiente para recibir análisis de rayos X intraorales: con tan solo presionar un botón en Romexis, el usuario recibirá un análisis calculado por IA de su imagen de rayos X directamente en Romexis para su posterior examen y planificación. Además de ahorrar tiempo al profesional clínico, la función de análisis es una herramienta increíblemente potente para la educación y comunicación con el paciente, ya que ayuda a visualizar caries, cálculos y otros hallazgos en una imagen de rayos X. El servicio también numera los dientes y realiza mediciones periodontales automáticamente. Más adelante, el servicio también estará disponible para las imágenes panorámicas.

"Nuestra finalidad principal con Planmeca Romexis es facilitar el trabajo de sus usuarios y ayudarles a generar valor con herramientas de software intuitivas y de fácil uso. Al aprovechar el poder de la inteligencia artificial, Romexis ayuda a los profesionales clínicos a analizar los datos con mayor rapidez y precisión, así como a utilizar su tiempo de forma más eficiente. Al mismo tiempo, nos tomamos muy en serio la privacidad y la seguridad de los datos y hemos integrado la seguridad en el software desde el primer momento. Estamos sumamente orgullosos de que todos los usuarios de Romexis puedan seguir prácticas responsables y cumplir los requisitos normativos cada vez más estrictos en materia de seguridad de datos en todo el mundo, al tiempo que utilizan herramientas de software inteligentes que facilitan su trabajo", afirma Helianna Puhlin-Nurminen, vicepresidenta de la división de obtención de imágenes digitales y aplicaciones de Planmeca.

Planmeca presentará Planmeca Romexis, así como sus nuevas funciones y módulos en la IDS 2023.

Si desea información adicional, póngase en contacto con:
Helianna Puhlin-Nurminen
Vice President, Digital Imaging and Applications, Planmeca Oy
Tel 358 20 7795 731
helianna.puhlin@planmeca.com