Planmeca Romexis® -ohjelmistoon uusia tekoälyyn pohjautuvia työkaluja

Planmeca Romexis® on hammashoitoalan tehokkain ohjelmistoalusta, joka tarjoaa laajan valikoiman hammaskuvantamisen, diagnosoinnin ja hoidon suunnittelun työkaluja kaikkia käyttötarkoituksia ja hammaslääketieteen erikoisaloja varten. Planmeca esittelee International Dental Show 2023 -tapahtumassa Romexis-ohjelmistoonsa useita parannuksia sekä uusia tekoälypohjaisia työkaluja, jotka auttavat optimoimaan vastaanoton päivittäisiä työtehtäviä sekä nopeuttavat ja helpottavat potilaskuvien käsittelyä ja hoidon suunnittelua entisestään.

Planmeca Romexis® -ohjelmistoon uusia tekoälyyn pohjautuvia työkaluja

Tiedote 16.03.2023

Planmeca Romexis® on joustava ja tehokas ohjelmistoalusta, joka tukee monipuolisesti 2D- ja 3D-kuvantamista sekä CAD/CAM-työskentelyä. Romexis on kokonaisvaltainen ohjelmistoratkaisu kaikille hammashoidon erikoisaloille ja kaikenkokoisille hammasklinikoille. Planmeca tekee ohjelmistoon säännöllisesti päivityksiä ja lisää siihen uusia toimintoja, jotta käyttäjät voivat aina hyödyntää digitaalisen hammashoidon uusimpia innovaatioita. IDS 2023 -tapahtumassa Planmeca esittelee useita parannuksia ja uusia ominaisuuksia Romexis-ohjelmistoon.

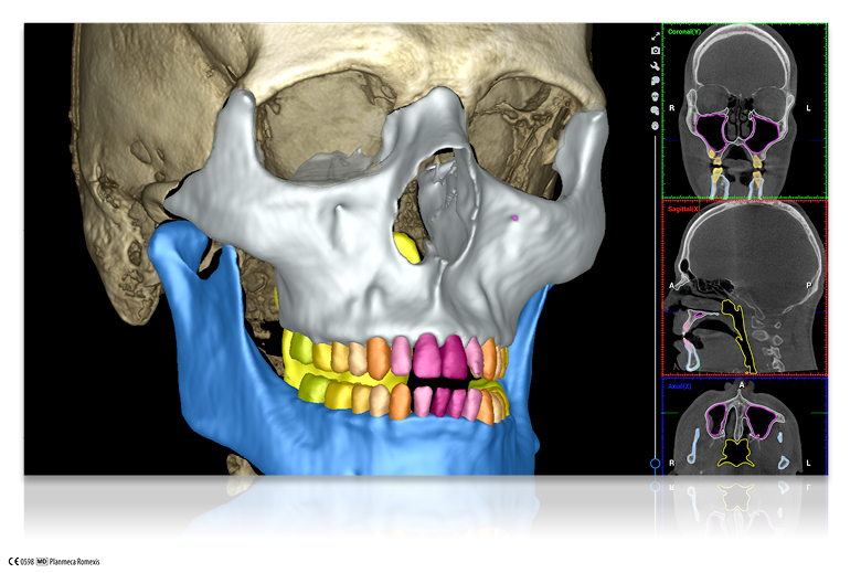
Planmeca tuo ohjelmiston 3D-kuvantamismoduuliin uutuutena tekoälypohjaisen Romexis Smart -toiminnon, joka segmentoi ja tunnistaa automaattisesti anatomiset rakenteet, kuten hampaat, hermot, leuat, ilmatiet ja ontelot. Uuden toiminnon ansiosta ohjelmiston käyttö on entistäkin helpompaa ja nopeampaa, ja se tarjoaa erinomaisen työkalun kuvien esittämiseen potilaille. Tekoäly mahdollistaa myös KKTT-kuvien ja digitaalisten jäljennösten automaattisen kartoituksen: ohjelmisto numeroi hampaat automaattisesti, minkä ansiosta käyttäjä voi siirtyä haluamaansa KKTT-kuvan kohtaan helposti vain napsauttamalla hampaan numeroa hammaskaaviossa, jolloin ohjelmisto keskittää kaikki eri näkymät kyseiseen hampaaseen.

Äskettäin julkaistua Planmeca Romexis® CAD/CAM -moduulia on laajennettu Planmeca Romexis® Ortho Simulator -toiminnolla, joka mahdollistaa potilaan hymyn simuloinnin digitaalisten jäljennösten avulla vain muutamassa minuutissa. Moduulin tekoälypohjainen algoritmi luo oikomishoidon vaikutuksista simulaatioehdotuksia, jotka helpottavat keskustelua eri hoitovaihtoehdoista sekä oikomiskalvohoidon tarjoamien mahdollisuuksien esittelyä potilaalle. Ehdotuksia voidaan myös muokata manuaalisesti nopeakäyttöisten ja intuitiivisten simulaatiotyökalujen avulla.

Kallon, leukojen ja kasvojen alueen kirurgian suunnitteluun tarkoitettu Planmeca Romexis® CMF Surgery -moduuli on myös saanut uusia ominaisuuksia ja jo olemassa olevia toimintoja on parannettu. Esimerkiksi moduulin segmentointitoimintoja on parannettu, ja ne voidaan nyt automatisoida täysin uusien Romexis Smart -työkalujen avulla. Lisäksi anatomiset ohjauspisteet on nyt mahdollista tunnistaa automaattisesti, mikä säästää hammaslääkärien kallista aikaa. Lisäksi hoitosuunnitelman visualisointi on viety uudelle tasolle, sillä nyt myös kirurgisen toimenpiteen jälkeen odotettavissa olevat pehmytkudosten muutokset ovat simuloitavissa ohjelmiston avulla.

Kaiken tämän lisäksi Romexis-ohjelmistossa on nyt käytettävissä uusi aikaa säästävä, tekoälypohjainen intraoraaliröntgenkuvien analyysipalvelu. Planmecan ja Pearlin yhteistyön seurauksena Second Opinion -palvelu on nyt käytettävissä Romexis-ohjelmiston kanssa. Napsauttamalla yhtä painiketta Romexis-ohjelmistossa käyttäjä saa nyt tekoälyalgoritmin laskeman kuva-analyysin suoraan Romexis-ohjelmistoon jatkotutkimuksia ja hoidon suunnittelua varten. Analyysitoiminto säästää hammaslääkärin aikaa, mutta on myös tehokas työkalu potilasviestintään, sillä se auttaa havainnollistamaan karieksen, hammaskiven ja muut löydökset röntgenkuvassa. Lisäksi palvelu numeroi hampaat ja tekee juurikanavan mittauksia automaattisesti. Palvelu on aluksi saatavilla bitewing- ja periapikaalikuville, ja laajenee myöhemmässä vaiheessa myös panoraamakuvien analysointiin.

”Perimmäisenä tavoitteenamme Planmeca Romexis -ohjelmiston kehittämisessä on sujuvoittaa käyttäjien työskentelyä ja auttaa heitä luomaan lisäarvoa intuitiivisten ja helppokäyttöisten ohjelmistotyökalujen avulla. Valjastamalla tekoälyn Romexis-ohjelmiston palvelukseen autamme hammaslääkäreitä analysoimaan kuvia nopeammin ja tarkemmin sekä käyttämään aikansa tehokkaammin. Suhtaudumme myös tietosuoja- ja tietoturvakysymyksiin äärimmäisen vakavasti, joten ne on huomioitu ohjelmiston suunnittelussa alusta alkaen. Olemme todella ylpeitä siitä, että Romexis-käyttäjät kautta maailman voivat noudattaa vastuullisia tietosuojakäytäntöjä ja täyttää jatkuvasti tiukentuvien tietosuojamääräysten vaatimukset samalla, kun älykkäät ohjelmistotyökalut tekevät heidän työstään entistä sujuvampaa”, toteaa Planmecan digitaalisesta kuvantamisesta ja sovelluksista vastaava johtaja Helianna Puhlin-Nurminen.

Planmeca esittelee Planmeca Romexis -ohjelmiston uusia toimintoja ja moduuleja IDS 2023 -tapahtumassa.

Lisätietoja:
Helianna Puhlin-Nurminen
Vice President, Digital Imaging and Applications, Planmeca Oy
Puh. 358 20 7795 731
Sähköposti: helianna.puhlin@planmeca.com


Uutisia aiheesta