Planmeca presenterà nuovi strumenti basati su intelligenza artificiale per Planmeca Romexis®

Planmeca Romexis® è la piattaforma software più potente per l’odontoiatria, in grado di offrire una gamma completa di strumenti per l’imaging dentale, la diagnosi e la pianificazione del trattamento per tutte le indicazioni e le specialità odontoiatriche. Planmeca è orgogliosa di presentare all’International Dental Show 2023 numerose migliorie e nuovi strumenti basati sull’intelligenza artificiale per Romexis, che aiutano a ottimizzare le attività quotidiane presso uno studio dentistico e rendono ancora più semplici e veloci il lavoro sulle immagini dei pazienti e la pianificazione dei trattamenti.

Planmeca presenterà nuovi strumenti basati su intelligenza artificiale per Planmeca Romexis®

Comunicato stampa 16.03.2023

Planmeca Romexis® è una piattaforma software flessibile e potente che supporta la più versatile gamma di imaging 2D e 3D, nonché il lavoro CAD/CAM, e fornisce una soluzione completa per tutte le specialità e le cliniche di qualsiasi dimensione. Planmeca vanta una comprovata storia di continua innovazione quanto a funzionalità e migliorie apportate a Romexis, permettendo ai propri utenti di lavorare sempre con le soluzioni tecnologiche più all’avanguardia nel campo dell’odontoiatrica digitale. All’IDS 2023, Planmeca è impaziente di svelare i tanti miglioramenti e le nuove funzionalità apportati al software.

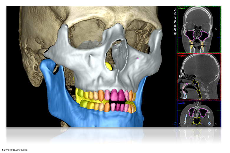
Per il modulo di imaging 3D, Planmeca presenterà una nuova funzionalità basata su intelligenza artificiale, Romexis Smart. Quest’ultima consente la segmentazione e il riconoscimento automatici delle anatomie, come denti, nervi, mandibole, vie aeree e seni, permettendo un utilizzo più snello e rapido del software e un’eccellente visualizzazione del caso per una più semplice spiegazione al paziente. Con l’aiuto dell’intelligenza artificiale, anche le immagini CBCT e le scansioni intraorali vengono automaticamente mappate. Grazie al riconoscimento automatico della numerazione dentale, è possibile esplorare agevolmente un volume CBCT con un semplice clic sulla tabella dei denti. In questo modo, il software centra tutte le viste sul dente interessato.

In aggiunta, il modulo Planmeca Romexis® CAD/CAM di recente introduzione si espande con una funzione Romexis® Ortho Simulator di Planmeca. Grazie a Romexis Ortho Simulator, è possibile utilizzare le scansioni intraorali per simulare il vero potenziale del sorriso di un paziente in pochi minuti. L’algoritmo del modulo, basato su intelligenza artificiale, crea proposte di simulazioni per casi ortodontici e semplifica la discussione delle possibilità di intervento, mostrando ai pazienti il potenziale dei trattamenti con allineatori invisibili. Le proposte possono anche essere regolate manualmente attraverso strumenti di simulazione veloci e intuitivi.

Il modulo Planmeca Romexis® CMF Surgery per la pianificazione della chirurgia cranio-maxillo-facciale è stato arricchito di nuove funzionalità e migliorato quanto a quelle già esistenti. Le procedure di segmentazione sono state migliorate e possono persino essere completamente automatizzate con i nuovi strumenti Romexis Smart. Inoltre, è ora possibile rilevare automaticamente i punti di riferimento, il che aiuta i dentisti a risparmiare tempo prezioso. Anche la visualizzazione di un caso è stata completamente rivoluzionata, dal momento che ora offre la possibilità di simulare quelle modifiche ai tessuti molli che il paziente può aspettarsi a seguito dell’intervento chirurgico.

Ma non è tutto: Romexis offre un nuovo servizio agli utenti interessati a risparmiare tempo e un servizio di analisi delle immagini basato sull'intelligenza artificiale per le radiografie intraorali. Planmeca vuole lanciare una collaborazione con il servizio Second Opinion di Pearl, che offre agli utenti un flusso di lavoro agevole per ricevere analisi radiografiche intraorali: con un semplice clic su un pulsante in Romexis, l'utente riceverà un'analisi calcolata dall'intelligenza artificiale della propria immagine radiografica direttamente in Romexis per esami e pianificazioni ulteriori. Oltre a far risparmiare tempo al dentista, la funzione di analisi è uno strumento incredibilmente potente per informare e comunicare con il paziente, in quanto aiuta a visualizzare carie, tartaro e altri reperti in un'immagine radiografica. Il servizio, inoltre, numera automaticamente i denti ed effettua misurazioni parodontali. A breve, il servizio sarà disponibile anche per immagini panoramiche.

“Il nostro fine ultimo con Planmeca Romexis è rendere più semplice il lavoro degli utenti e aiutarli a creare valore grazie a strumenti software intuitivi e facili da usare. Sfruttando tutta potenzialità dell’intelligenza artificiale, Romexis aiuta i dentisti ad analizzare i dati in modo più rapido e preciso, nonché ad impiegare il proprio tempo in maniera più efficiente. Al tempo stesso, prendiamo molto seriamente la privacy e la sicurezza dei dati e, per questo, abbiamo provveduto a integrare sistemi di sicurezza nel software sin dal principio. Siamo estremamente orgogliosi che tutti gli utenti di Romexis possano adottare pratiche responsabili e soddisfare requisiti normativi sempre più stringenti in materia di sicurezza dei dati in tutto il mondo, utilizzando al contempo strumenti software intelligenti che rendono il loro lavoro più fluido”, afferma Helianna Puhlin-Nurminen, Vicepresidente della divisione imaging digitale e applicazioni di Planmeca.

Planmeca presenterà Planmeca Romexis e i suoi nuovi moduli e funzionalità all’IDS 2023.

Per ulteriori informazioni, contattare:
Helianna Puhlin-Nurminen
Vicepresidente, Divisione Imaging digitale e Applicazioni, Planmeca Oy
Tel.: 358 20 7795 731
helianna.puhlin@planmeca.com