Planmeca introduces new AI-based tools for Planmeca Romexis®

Planmeca Romexis® is the most powerful software platform for dentistry, offering an extensive range of tools for dental imaging, diagnosis and treatment planning for all indications and dental specialties. At the International Dental Show 2023, Planmeca is proud to introduce several improvements and new AI-based tools to Romexis, which help optimise the daily tasks at a dental practice and make working with patient images and treatment planning even easier and faster.

Planmeca introduces new AI-based tools for Planmeca Romexis®

Press release Mar 16, 2023

Planmeca Romexis® is a flexible and powerful software platform that supports the most versatile range of 2D and 3D imaging as well as CAD/CAM work and provides an all-in-one solution for all specialities and clinics of all sizes. Planmeca has a strong and proven record of steadily adding new features and improvements to Romexis, allowing its users to always work with the latest innovations in digital dentistry. At IDS 2023, Planmeca is excited to introduce several improvements and new features to the software.

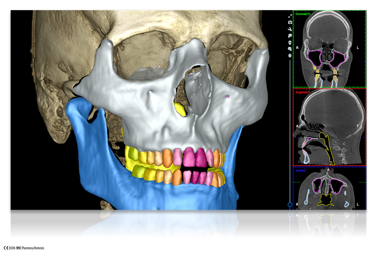
For the 3D imaging module, Planmeca is introducing a new AI-based feature, Romexis Smart. It allows the automatic segmentation and recognition of anatomies, such as teeth, nerves, jaws, airways, and sinuses, which enables easier and faster use of the software and an excellent visualisation of the case for patient education. With the help of artificial intelligence, CBCT images and intraoral scans are also automatically mapped. Thanks to the automatic tooth number recognition, a CBCT volume can be easily navigated just by clicking on the tooth number in the tooth chart and the software centres all views on the tooth of interest.

In addition, the recently released Planmeca Romexis® CAD/CAM module is expanding with a Planmeca Romexis® Ortho Simulator feature. With Romexis Ortho Simulator, intraoral scans can be used to simulate the true potential of a patient’s smile in a matter of minutes. The AI-based algorithm of the module creates simulation proposals for orthodontic cases and makes it easy to discuss treatment possibilities and showcase the potential of clear aligner treatments with patients. The proposals can also be adjusted manually with fast and intuitive simulation tools.

The Planmeca Romexis® CMF Surgery module for craniomaxillofacial surgery planning has been spiced up with new features and improvements to existing functionalities. The segmentation procedures have been improved and can even be fully automated with the new Romexis Smart tools. Additionally, landmarks can now be detected automatically, helping clinicians save precious time. The visualisation of a case has also been brought to a whole new level as it now includes the possibility to simulate changes in the soft tissues, which the patient can expect following the surgery.

On top of that, Romexis is offering a new service for users interested in time-savings and an AI-based image analysis service for intraoral X-ray images. Planmeca is launching a collaboration with Pearl to make Second Opinion service available within the Romexis platform. With the click of a button, users will receive AI evaluations of their intraoral X-ray images directly in Romexis for further examination and treatment planning. In addition to saving the clinician’s time, the analysis feature is an incredibly powerful tool for patient education and communication as it helps visualise caries, calculus and other findings in an X-ray image. The service also numbers the teeth and performs periodontic measurements automatically. Currently, the services supports both bitewing and periapical images, with support for panoramic images forthcoming.

“Our ultimate goal with Planmeca Romexis is to make the work of its users easier and help them create value with intuitive and easy-to-use software tools. By harnessing the power of artificial intelligence, Romexis helps clinicians to analyse data more quickly and accurately as well as use their time more efficiently. At the same time, we are taking data privacy and security very seriously and have built security into the software since day one. We are extremely proud that all Romexis users can follow responsible practices and meet tightening regulatory requirements for data security all around the world while using intelligent software tools that make their work flow,” states Helianna Puhlin-Nurminen, Vice President of Digital Imaging and Applications at Planmeca.

Planmeca is presenting Planmeca Romexis and its new features and modules at IDS 2023.

For further information, please contact:
Helianna Puhlin-Nurminen
Vice President, Digital Imaging and Applications, Planmeca Oy
Tel. 358 20 7795 731
helianna.puhlin@planmeca.com


Related news