Planmeca wprowadza nowe narzędzia do Planmeca Romexis® oparte na sztucznej inteligencji (AI)

Planmeca Romexis® to najpotężniejsza platforma oprogramowania dla stomatologii, oferująca szeroką gamę narzędzi do obrazowania stomatologicznego, diagnostyki i planowania leczenia dla wszystkich wskazań i specjalizacji dentystycznych. Podczas International Dental Show 2023 Planmeca z dumą przedstawia kolejne ulepszenia Romexis i kilka nowych narzędzi opartych na sztucznej inteligencji (AI), które pomagają zoptymalizować codzienne zadania w gabinecie dentystycznym oraz jeszcze bardziej ułatwiają i przyspieszają pracę z obrazami pacjentów oraz planowanie leczenia.

Planmeca wprowadza nowe narzędzia do Planmeca Romexis® oparte na sztucznej inteligencji (AI)

Komunikat prasowy 16.03.2023

Planmeca Romexis® to elastyczna i potężna platforma oprogramowania, która obsługuje najbardziej wszechstronny zakres obrazowania 2D i 3D, a także prace CAD/CAM,  zapewniając kompleksowe rozwiązanie dla wszystkich specjalności i klinik każdej wielkości. Planmeca ma solidne i sprawdzone doświadczenie w ciągłym dodawaniu nowych funkcji i ulepszeń do Romexis, umożliwiając użytkownikom pracę z najnowszymi innowacjami w stomatologii cyfrowej. Na targach IDS 2023 Planmeca z radością wprowadza kilka ulepszeń i nowych funkcji do oprogramowania.

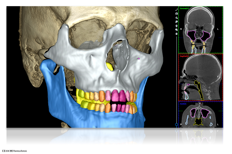
W przypadku modułu obrazowania 3D Planmeca wprowadza nową funkcję opartą na sztucznej inteligencji, Romexis Smart, pozwalającą na automatyczną segmentację i rozpoznawanie anatomii, takich jak zęby, nerwy, szczęki, drogi oddechowe, zatoki. Umożliwia to łatwiejsze i szybsze korzystanie z oprogramowania oraz doskonałą wizualizację przypadków celem edukacji pacjenta. Z pomocą sztucznej inteligencji automatycznie mapowane są również obrazy CBCT i skany wewnątrzustne. Dzięki automatycznemu rozpoznawaniu numeru zęba, obszaru CBCT można łatwo nawigować, po prostu klikając numer zęba na diagramie zębów, a oprogramowanie wyśrodkowuje wszystkie widoki na interesującym nas zębie.

Ponadto dostępny od niedawna moduł Planmeca Romexis® CAD/CAM został rozszerzony o funkcję Planmeca Romexis® Ortho Simulator. Dzięki Romexis Ortho Simulator skany wewnątrzustne można wykorzystać do symulacji prawdziwego potencjalnego uśmiechu pacjenta w ciągu kilku minut. Algorytm modułu oparty na sztucznej inteligencji tworzy propozycje symulacji dla przypadków ortodontycznych i ułatwia omawianie możliwości leczenia oraz prezentowanie pacjentom potencjału zabiegów z nakładkami. Propozycje można również dostosować ręcznie za pomocą szybkich i intuicyjnych narzędzi symulacyjnych.

Moduł Planmeca Romexis® CMF Surgery do planowania chirurgii szczękowo-twarzowej został wzbogacony o nowe funkcje i ulepszenia istniejących funkcjonalności. Procedury segmentacji zostały ulepszone i mogą być nawet w pełni zautomatyzowane dzięki nowym narzędziom Romexis Smart. Dodatkowo punkty orientacyjne mogą być teraz wykrywane automatycznie, co pomaga klinicystom zaoszczędzić cenny czas. Wizualizacja przypadku została przeniesiona na zupełnie nowy poziom, ponieważ zawiera teraz możliwość symulacji zmian w tkankach miękkich, których pacjent może spodziewać się po operacji.

Ponadto Romexis oferuje nową usługę dla użytkowników zainteresowanych oszczędnością czasu,  opartą na sztucznej inteligencji analizę obrazu wewnątrzustnych zdjęć rentgenowskich. Planmeca rozpoczyna współpracę z usługą Second Opinion firmy Pearl, oferując użytkownikom płynny przepływ pracy w zakresie otrzymywania wewnątrzustnych analiz rentgenowskich: klikając jeden przycisk w Romexis, użytkownik otrzyma obliczoną przez AI analizę swojego zdjęcia rentgenowskiego bezpośrednio w Romexis do dalszych badań i planowania. Oprócz oszczędności czasu lekarza, funkcja analizy jest potężnym narzędziem do edukacji pacjentów i komunikacji, ponieważ pomaga wizualizować próchnicę, kamień nazębny i inne zmiany na zdjęciu rentgenowskim. Serwis dodatkowo numeruje zęby i automatycznie wykonuje pomiary periodontologiczne. Wkrótce usługa będzie dostępna również dla zdjęć panoramicznych.

„Naszym nadrzędnym celem w przypadku Planmeca Romexis jest ułatwienie pracy użytkownikom i pomoc w tworzeniu wartości dzięki intuicyjnym i łatwym w obsłudze narzędziom programowym. Wykorzystując moc sztucznej inteligencji, Romexis pomaga klinicystom szybciej i dokładniej analizować dane oraz efektywniej wykorzystywać ich czas. Jednocześnie bardzo poważnie traktujemy prywatność i bezpieczeństwo danych i od samego początku stosujemy zabezpieczenia w oprogramowaniu. Jesteśmy niezwykle dumni, że wszyscy użytkownicy Romexis mogą przestrzegać odpowiedzialnych praktyk i spełniać zaostrzające się wymogi prawne dotyczące bezpieczeństwa danych na całym świecie, korzystając jednocześnie z inteligentnych narzędzi programowych, które usprawniają ich pracę” — mówi Helianna Puhlin-Nurminen, wiceprezes ds. obrazowania cyfrowego i aplikacji Planmeca.

Planmeca prezentuje Planmeca Romexis oraz jego nowe funkcje i moduły na targach IDS 2023.

W celu uzyskania więcej informacji, prosimy o kontakt z:
Helianna Puhlin-Nurminen
Vice President, Digital Imaging and Applications, Planmeca Oy
Tel. +358 20 7795 731
Email: helianna.puhlin@planmeca.com