A Planmeca apresenta novas ferramentas baseadas em IA para o Planmeca Romexis®

O Planmeca Romexis® é a plataforma de software mais poderosa para odontologia, oferecendo uma ampla gama de ferramentas para imagiologia odontológica, diagnóstico e planejamento de tratamento para todas as indicações e especialidades odontológicas. Na International Dental Show 2023, a Planmeca tem o orgulho de apresentar várias melhorias e novas ferramentas baseadas em IA para o Romexis, que ajudam a otimizar as tarefas diárias numa clínica odontológica e tornam o trabalho com imagens de pacientes e planejamento de tratamento ainda mais fácil e rápido.

A Planmeca apresenta novas ferramentas baseadas em IA para o Planmeca Romexis®

Comunicado à imprensa 16.03.2023

O Planmeca Romexis® é uma plataforma de software flexível e poderosa que suporta a gama mais versátil de imagens 2D e 3D, bem como trabalho CAD/CAM e fornece uma solução All-in-one para todas as especialidades e clínicas de todos os tamanhos. A Planmeca tem um histórico forte e comprovado de adicionar constantemente novos recursos e melhorias ao Romexis, permitindo que seus usuários sempre trabalhem com as mais recentes inovações em odontologia digital. Na feira IDS 2023, a Planmeca tem o prazer de apresentar várias melhorias e novos recursos ao software.

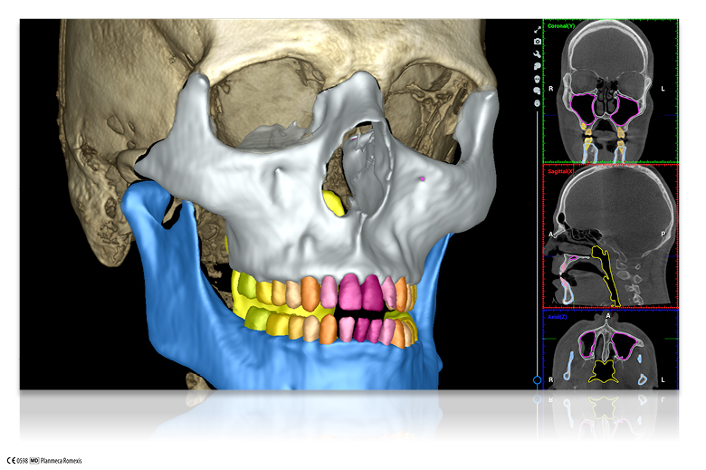
Para o módulo de imagem 3D, a Planmeca está apresentando um novo recurso baseado em IA, o Romexis Smart. Ele permite a segmentação automática e o reconhecimento de anatomias, como dentes, nervos, mandíbulas, vias aéreas e seios da face, o que permite uma utilização mais fácil e rápida do software e uma excelente visualização do caso para educação do paciente. Com a ajuda da inteligência artificial, as imagens CBCT e as digitalizações intraorais também são mapeadas automaticamente. Graças ao reconhecimento automático do número do dente, um volume CBCT pode ser facilmente navegado apenas clicando no número do dente na tabela de dentes e o software centraliza todas as visualizações no dente de interesse.

Além disso, o recém-lançado módulo Planmeca Romexis® CAD/CAM está se expandindo com um recurso Planmeca Romexis® Ortho Simulator. Com o Romexis Ortho Simulator, digitalizações intraorais podem ser usadas para simular o verdadeiro potencial do sorriso de um paciente em questão de minutos. O algoritmo baseado em IA do módulo cria propostas de simulação para casos ortodônticos e facilita a discussão das possibilidades de tratamento e mostra o potencial dos tratamentos com alinhadores invisíveis com os pacientes. As propostas também podem ser ajustadas manualmente com ferramentas de simulação rápidas e intuitivas.

O módulo Planmeca Romexis® CMF Surgery para planejamento de cirurgia craniomaxilofacial foi aprimorado com novos recursos e melhorias nas funcionalidades existentes. Os procedimentos de segmentação foram aprimorados e podem até ser totalmente automatizados com as novas ferramentas Romexis Smart. Além disso, os pontos de referência agora podem ser detectados automaticamente, ajudando os médicos a economizar um tempo precioso. A visualização de um caso também foi elevada a um nível totalmente novo, pois agora inclui a possibilidade de simular alterações nos tecidos moles, algo que o paciente pode esperar após a cirurgia.

Além disso, o Romexis está oferecendo um novo serviço para usuários interessados em economizar tempo e um serviço de análise de imagem baseado em IA para imagens radiográficas intraorais. A Planmeca está lançando uma colaboração com o serviço Second Opinion da Pearl, oferecendo aos usuários um fluxo de trabalho tranquilo para receber análises de radiografia intraoral: ao clicar num botão no Romexis, o usuário receberá uma análise calculada por IA da sua imagem de raios X diretamente no Romexis para exame e planejamento posterior. Além de economizar o tempo do dentista, o recurso de análise é uma ferramenta incrivelmente poderosa para educação e comunicação do paciente, pois ajuda a visualizar cáries, cálculos e outras descobertas numa imagem de raios X. O serviço também numera os dentes e faz medições periodontais de forma automática. Posteriormente, o serviço também estará disponível para imagens panorâmicas.

"Nosso objetivo final com o Planmeca Romexis é facilitar o trabalho de seus usuários e ajudá-los a criar valor com ferramentas de software intuitivas e fáceis de usar. Ao aproveitar o poder da inteligência artificial, o Romexis ajuda os profissionais a analisar dados com mais rapidez e precisão, além de usar seu tempo com mais eficiência. Ao mesmo tempo, levamos muito a sério a privacidade e a segurança dos dados e incluímos um sistema de segurança no software desde o primeiro dia. Estamos extremamente orgulhosos de que todos os usuários do Romexis possam seguir práticas responsáveis e atender aos rígidos requisitos regulamentares de segurança de dados em todo o mundo, usando ferramentas de software inteligentes que facilitam o fluxo de trabalho”, afirma Helianna Puhlin-Nurminen, Vice-Presidente de Imagens Digitais e Aplicativos da Planmeca.

A Planmeca apresenta o Planmeca Romexis e os seus novos recursos e módulos na feira IDS 2023.

Para mais informações, entre em contato com:
Helianna Puhlin-Nurminen
Vice-presidente, Imagens digitais e aplicações, Planmeca Oy
Tel. +358 20 779 5731
E-mail: helianna.puhlin@planmeca.com