Planmeca представляет новые инструменты на основе ИИ для Planmeca Romexis®

Planmeca Romexis® — это самая мощная программная платформа для стоматологии с широчайшим набором инструментов для визуализации, диагностики и планирования лечения для любых показаний и всех стоматологических специальностей. На международной стоматологической выставке 2023 года компания Planmeca представляет несколько улучшений и новые инструменты на основе искусственного интеллекта для Romexis, которые помогут стоматологам эффективнее выполнять свои повседневные задачи, значительно упростят и ускорят работу с рентгенограммами, а также планирование лечения пациентов.

Planmeca представляет новые инструменты на основе ИИ для Planmeca Romexis®

Пресс-релиз 16.03.2023

Planmeca Romexis® — это гибкая и невероятно мощная программная платформа, которая поддерживает работу с широким спектром двухмерных и трехмерных изображений, работами в CAD/CAM и является идеальным универсальным решением «all-in-one» для всех специалистов и практик любого масштаба. Planmeca постоянно добавляет новые функции и совершенствует работу Romexis, благодаря чему пользователи платформы всегда имеют доступ к последним достижениям цифровой стоматологии. Компания Planmeca рада представить на выставке IDS 2023 несколько дополнений и новых функций программы.

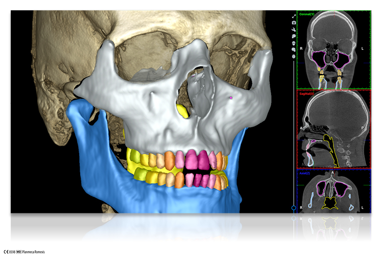
Для модуля 3D-визуализации Planmeca представляет новую функцию на основе искусственного интеллекта – Romexis Smart. Она позволяет автоматически выполнять сегментацию и распознавание таких анатомических объектов, как зубы, нервы, челюсти, дыхательные пути и пазухи, что значительно упрощает и ускоряет использование программного обеспечения, а также обеспечивает прекрасный материал для демонстрации пациентам. Кроме того, с помощью искусственного интеллекта можно автоматически сопоставлять снимки КЛКТ и интраоральные сканы. Благодаря автоматическому распознаванию номеров зубов можно быстро перемещаться по КЛКТ, просто нажав на нужный номер, после чего программное обеспечение отобразит все проекции выбранного зуба.

Кроме того, недавно выпущенный модуль Planmeca Romexis® CAD/CAM можно расширить функцией Planmeca Romexis® Ortho Simulator. Данная функция позволяет использовать интраоральные сканы для симуляции будущей улыбки пациента за считанные минуты. Рабочий алгоритм модуля на базе искусственного интеллекта формирует возможные варианты результатов ортодонтического лечения и позволяет предметно обсуждать различные варианты лечения, демонстрируя пациентам потенциал использования элайнеров. Созданные программой предложения при необходимости можно откорректировать вручную при помощи интуитивно понятных инструментов оперативного моделирования.

Модуль Planmeca Romexis® CMF Surgery для планирования операций в области черепно-челюстно-лицевой хирургии дополнен новыми возможностями, а некоторые его существующие функции существенно улучшены. С помощью новых инструментов Romexis Smart процедура сегментации усовершенствовалась до полного автоматизма. Кроме того, ориентиры теперь определяются автоматически, что помогает специалистам экономить рабочее время. Визуализация также выведена на совершенно новый уровень благодаря возможности продемонстрировать пациенту симуляцию постоперационных изменений в мягких тканях.

Вдобавок ко всему, Romexis предлагает новый сервис для пользователей, заинтересованных в экономии времени – функцию анализа интраоральных рентгеновских снимков на основе искусственного интеллекта. Planmeca начинает сотрудничество с компанией Pearl, реализуя возможность использовать сервис Second Opinion на платформе Romexis. Нажатием одной кнопки пользователи смогут получать непосредственно в Romexis анализ своего рентгеновского снимка, выполненный ИИ, для последующего изучения и планирования лечения. Функция анализа не только экономит время, но и является невероятно мощным инструментом для информирования пациентов, поскольку помогает наглядно показать участки с кариесом, зубным камнем и другими отклонениями от нормы на рентгеновском снимке. Этот сервис также нумерует зубы и автоматически выполняет пародонтологические измерения. В настоящее время сервис поддерживает прикусные и периапикальные рентгенограммы, немного позднее он будет использоваться и в работе с панорамными снимками.

«Конечная цель создания Planmeca Romexis – упростить работу пользователей и помогать им создавать ценные данные с помощью простых в освоении и интуитивно понятных программных инструментов. Используя широкие возможности искусственного интеллекта, Romexis помогает стоматологам быстрее и точнее анализировать полученную информацию, а также эффективнее распоряжаться своим временем. С другой стороны, мы крайне серьезно относимся к конфиденциальности и безопасности данных, поэтому сразу же встроили в программное обеспечение надежные механизмы защиты. Мы очень гордимся тем, что все пользователи Romexis смогут следовать установленным требованиям и соблюдать постоянно ужесточающиеся правила обеспечения безопасности данных при использовании интеллектуальных программных инструментов по всему миру, чтобы максимально упростить свою работу», — отмечает Хелианна Пулин-Нурминен, вице-президент подразделения цифровой визуализации и программных приложений компании Planmeca.

Planmeca представляет платформу Romexis с ее новыми функциями и модулями на выставке IDS 2023.

Обращайтесь за дополнительной информацией:
Г-жа Хелианна Пулин-Нюрминен, вице-президент
отдела цифровой визуализации и программных приложений, Planmeca Oy
Тел. 358 20 7795 731
helianna.puhlin@planmeca.com